So I've gained 2.5 lbs so far. I was feeling like that was a little too much so far. I had expressed that to my midwife. She said that she didn't think it was too much but that even if it was too much she tried to comfort me by telling me it will even itself out. When I went to the doctor last week she didn't act like she thought I had gained too much. But she did feel that I was measuring a little large, so she ordered an Ultra Sound. She said that there are three reasons I could be measuring large 1-I just measure large, 2- I'm further along than my dates say I am, or 3- Twins. I had figured it was just one- I measure large, especially after the disagreement I had with my doctor I was working with with baby #1 our son. He kept telling me I was 2 weeks ahead of my dates. I knew I was right and I was.
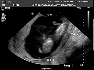
So the Ultra Sound reviled TWINS. I'm still in shock. This changes my perspective a little, how much weight gain, how many calories I need. Mostly I need to adjust my perspective of my weight gain.
So the Ultra Sound reviled TWINS. I'm still in shock. This changes my perspective a little, how much weight gain, how many calories I need. Mostly I need to adjust my perspective of my weight gain.
Oh my goodness- TWINS


No comments:
Post a Comment